Prothèse Fixe
Des solutions durables et
naturelles pour retrouver votre sourire
À CLIPAL CH, nous proposons des solutions de prothèse fixe dentaire qui restaurent la fonction, l’esthétique et le confort du sourire, grâce à des matériaux de haute qualité et une approche entièrement personnalisée.
Pourquoi choisir la
prothèse fixe à CLIPAL CH?
Diagnostic précis avec planification numérique
Utilisation de matériaux esthétiques et durables (zircone, céramique)
Pose réalisée par des professionnels hautement qualifiés
Ajustements individualisés pour assurer confort et fonctionnalité
Suivi régulier pour maintenir les résultats dans le temps
Avantages de la
prothèse fixe
- Esthétique naturelle et harmonieuse
- Totalement fixe – non amovible par le patient
- Matériaux résistants et biocompatibles
- Amélioration significative de la mastication
- Solutions durables, réalisées sur mesure pour chaque cas
Il existe deux types
principaux de prothèses fixes
1. Prothèses fixes sur implants
Recommandées pour les patients ayant perdu partiellement ou totalement leurs dents.
Les implants servent de base pour supporter des couronnes, des bridges ou des prothèses fixes complètes. Solutions les plus utilisées :

Couronnes unitaires sur implants
Pour remplacer une dent isolée avec un rendu naturel.

Bridges fixes sur plusieurs implants
Idéal pour remplacer plusieurs dents consécutives manquantes.

All-on-4 / All-on-6 avec mise en charge immédiate
Indiqués pour la réhabilitation totale des patients édentés
2. Prothèses fixes sur dents naturelles
Dans ce cas, les dents saines restantes servent de support à la prothèse. Solutions possibles :

Couronnes dentaires
Coques en céramique ou en zircone posées sur des dents naturelles, renforçant leur structure et améliorant leur apparence. Très utilisées pour les dents fracturées, dévitalisées ou avec de grandes restaurations.

Bridges fixes
Permettent de remplacer une ou plusieurs dents manquantes en s’appuyant sur les dents voisines. Une option discrète, efficace et esthétique.

Facettes dentaires
Traitement esthétique consistant à poser de fines lamelles de céramique (ou autre matériau) sur les dents antérieures. Elles permettent de corriger :
- Changements de couleur
- Légers désalignements
- Diastèmes (espaces entre les dents)
- Signes d’usure dentaire
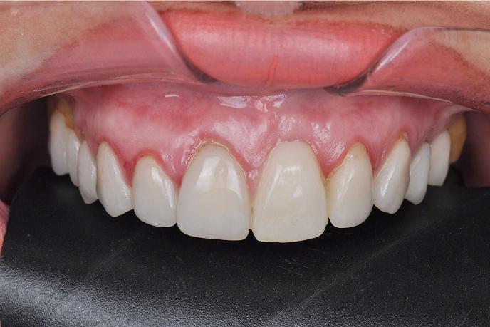
Cas de réussite
Questions fréquentes
1. Quelle est la durée de vie des couronnes ou bridges fixes ?
Avec une bonne hygiène bucco-dentaire et un suivi régulier, ils peuvent durer entre 10 et 20 ans, voire plus.
2. La prothèse fixe peut-elle être retirée ?
Non. Elle est fixée de manière définitive, soit par scellement, soit par vissage, garantissant sécurité et confort.
3. Puis-je combiner facettes, orthodontie ou blanchiment ?
Oui. Nous élaborons des plans de traitement intégrés pour obtenir un résultat esthétique équilibré et durable.
4. Est-il possible de remplacer plusieurs dents avec ce type de prothèse ?
Absolument. Cela va du remplacement d’une seule dent à la réhabilitation complète.
5. Comment choisir entre couronne, bridge ou facette ?
La décision dépend de l’état des dents, du nombre de dents manquantes et de vos attentes. Notre équipe réalise une évaluation détaillée et propose la solution la plus adaptée.
Prenez rendez-vous dès maintenant pour votre
évaluation
Chez CLIPAL, nous analysons votre cas à l’aide d’une technologie numérique de dernière génération afin de planifier et réaliser des sourires fonctionnels, durables et esthétiquement parfaits.